
به گزارش ورزش سه، درد و رنج اریک لاملا رویِ تاریک و پنهان زندگی فوتبالیستهای حرفهای است که کمتر دیده میشود. لاملا که کمتر از یک سال پیش و در ۳۴ سالگی به دلیل مشکلات شدید لگن کفشهایش را آویخت و بازنشسته شد، مجبور شده است برای پایان دادن به دردهای طاقتفرسایی که بیش از یک دهه همراهش بوده، از مفصل مصنوعی استفاده کند.
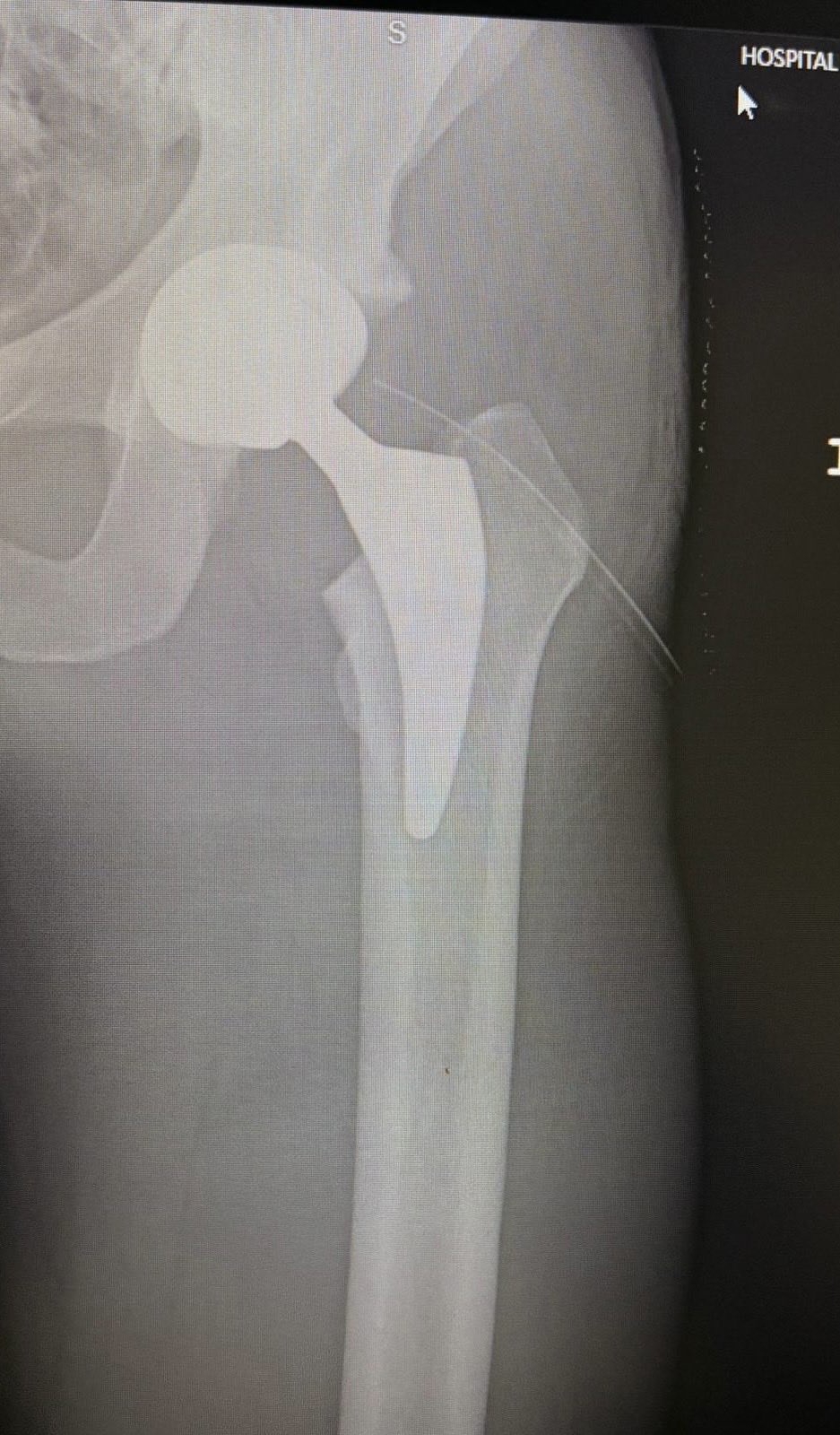
ستاره آرژانتینی با انتشار تصویری از نتیجه عمل جراحی خود که در آن بخش آسیبدیده مفصل با یک قطعه مصنوعی جایگزین شده، نوشت: «کمی درد دارم اما با لگن جدیدم بهتر خواهم شد. امیدوارم این پروتز شروعی برای یک زندگی بدون درد باشد.» لاملا که در زمان بازنشستگیاش فاش کرد در سال ۲۰۱۷ و در حالی که ۲۵ سال داشت و به خاطر مشکل این مفصل زیر تیغ جراحی رفته بود در آن زمان پزشکان به او گفته بودند که تنها ۴ سال دیگر میتواند فوتبال بازی کند. در تمام آن سالها، زندگی و تمرین با درد، روتین تکراری روزهای او بود.

لاملا بلافاصله پس از آویختن کفشها، پیوندش را با فوتبال به حکلی قطع نکرد و به کادر فنی ماتیاس آلمیدا در سویا پیوست. با جدایی آلمیدا از نیمکت این تیم، اریک لاملا از این فرصت استفاده کرده تا مشکل قدیمیاش را از ریشه حل کند.

لاملا فوتبال خود را به عنوان یکی از بزرگترین پدیدههای نسل خود در ریورپلاته آغاز کرد. او در سال ۲۰۱۱ به رم رفت و چشمههایی از تواناییهای فنی فوقالعادهاش را به رخ کشید. در سال ۲۰۱۳، تاتنهام برای پر کردن جای خالی گرت بیل به سراغ او آمد. پس از ۸ فصل حضور ماندگار در شمال لندن، لاملا مسیر خود را در سویا و سپس آاک آتن ادامه داد. این آرژانتینی علیرغم پایان زودهنگام دوران بازیاش، همچنان محبوب هواداران در همه این باشگاهها است.